
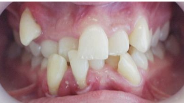
تعريف تزاحم الأسنان:
هي مشكلة تحدث في الفم وتصنف ضمن مشكلات الإطباق السيء (Malocclusion) المتعددة، نتيجة عدم كفاية الفراغات الموجودة في فك واحد أو في الفكين للظهور الطبيعي لبعض الأسنان الدائمة بشكل يمكنها من الانتظام في الاصطفاف .
كما تتوقع فإن ازدحام الأسنان قد تؤثر بشكل سيء على كيفية ظهور الأسنان وعلى صحتها، إذ إنه نظراً لأن المساحة المطلوبة من الأسنان تكون غير كافية بما يسمح لها بأن تنمو بشكل منتظم وطبيعي يؤدي هذا ربما إلى تشكيل قوة ضاغطة تتزايد على الأسنان لتزيد من احتمال التعرض لكثير من العواقب في حال عدم تلقي المراجع للمعالجة الملائمة في وقتها الصحيح ، وفيما يأتي أمثلة لتلك التداعيات المحتملة:
- تعرض الأسنان للاعوجاج.
- نمو عدة أسنان في الموقع نفسه من الفك بحيث تتراكب أو تتداخل فيما بينها.
- تعرض الأسنان للتسوس.
- تعرض الأسنان للالتفاف.
- الإصابة باعتلالات اللثة.
- تعرض مفاصل الفكين للتآكل.
- تعرض الفك للجنوح أو الانحراف، مسبباً ربما أعراضاً مصاحبة كمواجهة صعوبات في امضغ الطعام أو الصداع.
إن تأجيل حل المشكلة وأنت صغير في السن حتى تكبر قد يرهقك بتكاليف هائلة لعلاجها بعد بلوغك سن الرشد.
مستويات تزاحم الأسنان
وفقاً لدرجة تفاقم المشكلة ، فلها ثلاث مستويات مختلفة نبدأها من الأشد إلى الأبسط :
- تزاحم الأسنان الشديد: عندما يحدث نمو لمعظم الأسنان الأمامية في أحد الفكين بشكل متداخل بعضها فوق بعض .
- تزاحم الأسنان المتوسط: عندما يتداخل ويتقاطع سنان أو ثلاثة من الأسنان الأمامية في أحد الفكين .
- تزاحم الأسنان البسيط: وينجم عادة عن قيام أحد الأسنان الأمامية في أي من الفكين بالالتفاف بشكل بسيط.
ما هي الأسباب الكامنة وراء تزاحم الأسنان
- نشوء لأورام في الفم
- عادة مص الأصابع لدى الأطفال
- الضرس الدفين
- ظهور سن إضافي
- الإصابة بحادث في الفكين
- التركيبات السنية غير الملائمة لمساحة الأسنان والفكين .
- أسباب وراثية كالولادة بفك صغير ، وظهور أسنان حجمها كبير لا تتلاءم وحجم الفك.
- تساقط الأسنان اللبنية قبل وقتها المعتاد مما قد يسبب تحرك الأسنان في الفك لملء الفراغ الذي حدث للتو .
- أن تنمو الأسنان اللبنية دون ترك فراغات ملائمة بينها وبشكل مكتظ .
- عدم قدرة الأسنان الدائمة على فتح طريق لها خارج اللثة لتحل محل الأسنان اللبنية، الأمر الذي قد يؤدي إلى حدوث تراخ في السن اللبني ثم رجوعه للتشبث بنسيج اللثة بشكل قوي ، مما يفضي إلى تزاحم الأسنان في حال عدم قلع السن اللبني.
علاج ازدحام الأسنان
- قلع ضرس أو أكثر من ضرس
في حال كون حجم الفك صغيرًا بما لا يمكن من السماح بنمو وظهور عدد الأسنان الاعتيادي فقد يلجأ طبيب الأسنان لقلع ضرس أو أكثر ، مما يسمح أيضاً بزيادة فاعلية إجراءات علاجية أخرى كتقويم الأسنان ، إذ إن قلع الضرس يتيح للتقويم أن يقوم بتحريك الأسنان في الفم بوضعية حرة تعيدها إلى مواقعها الطبيعية.
- التقويم باختلاف أنواعه
إن التقويم الثابت أو المتحرك يتيح تصحيح تزاحم الأسنان ومعالجته، ومنها : التقويم المعدني الثابت، والتقويم الخزفي، والشفاف .
- قشور الأسنان
يمكن أن تساعد قشور الأسنان في بعض الحالات متوسطة المستوى في معالجة حالة تزاحم الأسنان، وبخاصة عند البالغين، حيث تركب قشور اصطناعية على السطح الخارجي للسن مما يخفف شدة ومظهر الازدحام التزاحم من خلال القيام بتغيرات محددة على السن، سواء لوناً أو شكلاً أو حجماً أو طولاً .
- علاجات أخرى
يمكن أن نلجأ لمعالجات أخرى متعددة ، مثل:
- تركيب موسع للفك .
- القيام بعملية جراحية محدودة تصحح مشكلات بعينها في الفك أو في الإطباق.
- تركيب مثبت الأسنان.
ينبغي الإشارة إلى أنه من المتعذر معالجة تزاحم الأسنان في المنزل مما يستدعي قيامك بمراجعة طبيب الأسنان لوضع خطة العلاج المناسبة. ، ونحن في مركز دانت سنتر في اسطنبول ، تركيا والمعروف باسم DentCenterTurkeyعلى أتم الاستعداد لمساعدتك واستعادة ألق ابتسامتك بطرق عديدة تستثني التقويم، تواصل معنا واحجز موعدك الآن .